がん治療– tag –
-
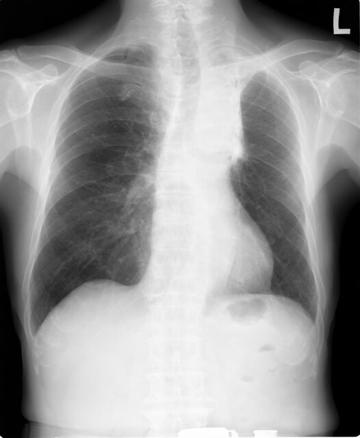
食欲が増えて両足の冷えが治り、体力が回復した肺がん患者。1週間で子宮筋腫がほとんど消えて、便通が良くなり、冷え性が治った女性。
こんにちは、李哲です。 アメリカの著名な中医師、倪海厦(ニハイシャ)先生の2005-5-31の治療例を翻訳しました。 肺がんと子宮筋腫の治療内容が書かれています。特に1週間で子宮筋腫がほとんど消えた例は、私が見てもビックリします。鍼治療では1週間で消... -
余命5年の多発性骨髄腫が1ヶ月で治った患者。 漢方飲んだ翌日から冷え性が治り、むくみすぎて歩けなかったのも治った患者。
こんにちは、李哲です。ニハイシャ先生の治療例、故事篇專講案例給大家聽(漢唐中醫倪海廈撰寫)を翻訳しました。 多発性骨髄腫(たはつせいこつずいしゅ)が1ヶ月で治った患者。12日間で8kgのむくみが取れた患者。治療のタイミングを逃したC型肝炎などの中... -
病気の原因を知らない医学は、必ずその病気も治せない 。悪性脳腫瘍とリンパ癌の原因は、腎臓に入るべきの栄養が逆流したからです。
こんにちは、李哲です。 アメリカの著名な中医学先生:倪海厦(ニハイシャ)先生*1の治療例を翻訳しました。中国語本文のリンク先はこちら めまい、体力がなくなり、昼間でも眠いがん患者 05/24/2005、晴れ。 患者さんはヨルダン人、1955年生まれ、悪性脳... -
仰向けになると咳が止まらないのは、初期の肺がんの症状だった。ワクチンの副作用で小児麻痺になった子供、足が動けるようになり顔色もよくなった例。
こんにちは、李哲です。 ニハイシャ先生の治療日記、故事篇專講案例給大家聽(漢唐中醫倪海廈撰寫)(2005ー5-8発表)を翻訳しました。治らない咳と肺がんの関連性、そしてワクチンの後遺障害である小児麻痺が漢方薬で改善された内容が書かれています。参考に... -
「健康な人でも死ぬ抗がん剤を、がん患者が飲んで生き残れるはずがない」倪海厦先生が肺がん患者に伝えた衝撃の言葉
「健康な人でも死ぬ薬を、免疫力が落ちたあなたが飲んで生き残れるはずがない」 61歳の肺がん患者(肝臓・骨転移)に、主治医は「もう助からない。でも抗がん剤をすれば少し長く生きられる」と告げました。しかし、アメリカの著名な中医師・倪海厦先生は違... -
不眠症、冷え性が治って喜ぶ乳がん患者。一晩で夜尿症・食欲不振が治った子供。心筋梗塞が治った以外、性機能まで強化された男性。
タモキシフェンを2年間飲み続けた結果、全く生理が来なくなり、不眠・冷え性・便秘に苦しんでいた乳がんステージ2の50歳女性。しかし漢方治療に切り替えてわずか2ヶ月で——「人生でこんなによく眠れたのは初めて」「手足が温かくなった」「便秘も解消して体... -
大腸がん・乳がん手術後、漢方で便秘・不眠・冷えが劇的に改善した衝撃の症例
こんにちは、李哲です。漢方や中医学って、どれだけすごいか知ってますか?私が翻訳してきたアメリカの著名な中医師、倪海厦(ニハイシャ)先生1の治療例を見ると、もう驚きしかありません。 頑固な便秘、ズキズキする痛み、眠れない長い夜が、漢方を飲ん... -
抗がん剤のあと癌が全身に広がって、余命3ヶ月だと言われた膵臓がん女性。
「癌」と書かれたメモ帳を持つ医師が、膵臓がんの原因と中医学の治療法を解説。 こんにちは、李哲です。アメリカの著名な中医学先生:倪海厦(ニハイシャ)先生の治療例、故事篇專講案例給大家聽(漢唐中醫倪海廈撰寫)(2005-5-12発表)を翻訳しました。 抗... -
治療の有効・無効がすぐ判断できる方法。あなたは自分の体の感覚を信じるべき
治療の有効・無効を自覚症状で判断 こんにちは、李哲です。アメリカの著名な中医学先生:倪海厦(ニハイシャ)先生1の治療例、2005-5-10の治療日記を翻訳しました。 乳癌治療を始め、様々な病気治療を受けて有効か無効かを判断する方法が書かれています。... -
脳腫瘍患者の睡眠・便通・冷え症が1週間で改善!血糖値治療薬の副作用で腎不全の事例
生まれつきの小児てんかんは、肺に残った羊水が原因。控涎丹で痰を除去すれば完治可能。 一方、余命3ヶ月の悪性脳腫瘍患者が漢方1週間で睡眠・便通・冷えが劇的に改善!血糖降下薬の副作用で腎不全になった母親のケースも… 中医学の視点が、現代医学の限界...
